巨大自发性脾肾分流道栓塞联合抗凝治疗门静脉血栓1例报告
DOI: 10.12449/JCH250825
伦理学声明:本例报告已获得患者家属知情同意。
利益冲突声明:本文不存在任何利益冲突。
作者贡献声明:黄菊负责病史资料整理及撰写论文;王小泽、罗薛峰负责指导及支持性贡献;杨丽负责审核论文并最后定稿,经费支持。
Large spontaneous splenorenal shunt embolization combined with anticoagulant therapy in treatment of portal vein thrombosis: A case report
-
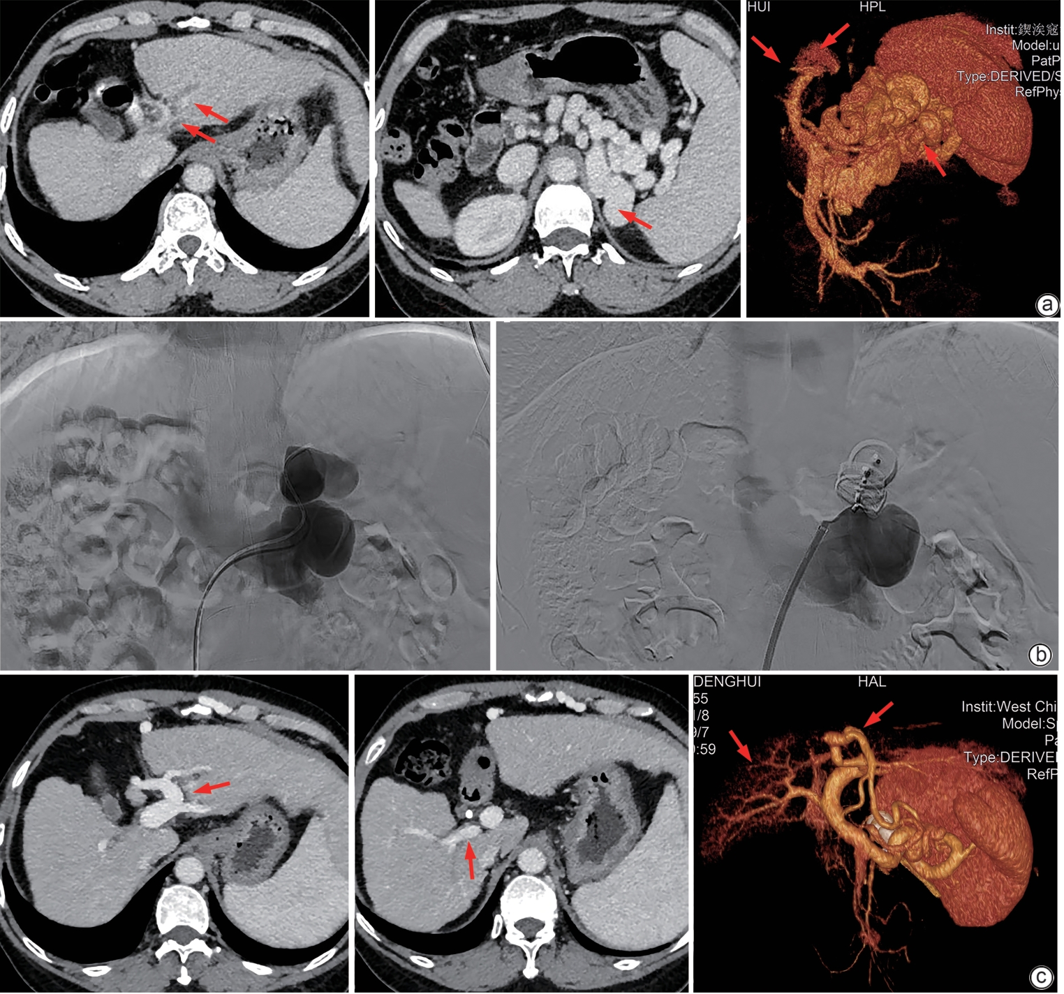
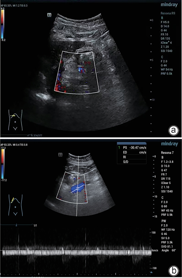
摘要: 门静脉血栓是肝硬化患者常见且严重的并发症,门静脉血流动力学的改变与门静脉血栓的发生密切相关。合并巨大的自发性脾肾分流时门静脉灌注减少、血流速度减慢,极有可能削弱门静脉血栓的抗凝效果。本文将报道1例通过栓塞自发性脾肾分流道联合抗凝治疗策略,实现了门静脉的完全再通,然而,仍需高质量的临床研究进一步验证和支持这一策略的有效性。Abstract: Portal vein thrombosis (PVT) is a common and severe complication in patients with liver cirrhosis, and alterations in portal hemodynamics are closely associated with the development of PVT. The presence of large spontaneous splenorenal shunt (SSRS) may lead to reductions in portal vein perfusion and blood flow velocity, which may compromise the anticoagulant effect on PVT. This article reports the treatment strategies of SSRS embolization combined with anticoagulant therapy that help to achieve complete recanalization of the portal vein; however, high-quality clinical studies are still needed to further validate and support the effectiveness of this strategy.
-
Key words:
- Portal Vein /
- Venous Thrombosis /
- Embolization, Therapeutic
-
-
[1] STINE JG, WANG J, SHAH PM, et al. Decreased portal vein velocity is predictive of the development of portal vein thrombosis: A matched case-control study[J]. Liver Int, 2018, 38( 1): 94- 101. DOI: 10.1111/liv.13500. [2] SIMÓN-TALERO M, ROCCARINA D, MARTÍNEZ J, et al. Association between portosystemic shunts and increased complications and mortality in patients with cirrhosis[J]. Gastroenterology, 2018, 154( 6): 1694- 1705. e 4. DOI: 10.1053/j.gastro.2018.01.028. [3] NARDELLI S, RIGGIO O, TURCO L, et al. Relevance of spontaneous portosystemic shunts detected with CT in patients with cirrhosis[J]. Radiology, 2021, 299( 1): 133- 140. DOI: 10.1148/radiol.2021203051. [4] KE Q, YU XP, WANG X, et al. Prevalence, clinical characteristics, and outcomes of spontaneous portosystemic shunt in patients with hepatitis B-related cirrhosis: A multicenter study from China[J]. Dig Liver Dis, 2023, 55( 10): 1382- 1390. DOI: 10.1016/j.dld.2023.04.012. [5] Hepatobiliary Disease Study Group, Chinese Society of Gastroenterology, Chinese Medical Association. Consensus for management of portal vein thrombosis in liver cirrhosis(2020, Shanghai)[J]. J Clin Hepatol, 2020, 36( 12): 2667- 2674. DOI: 10.3969/j.issn.1001-5256.2020.12.007.中华医学会消化病学分会肝胆疾病学组. 肝硬化门静脉血栓管理专家共识(2020年, 上海)[J]. 临床肝胆病杂志, 2020, 36( 12): 2667- 2674. DOI: 10.3969/j.issn.1001-5256.2020.12.007. [6] PAN JH, WANG L, GAO FB, et al. Epidemiology of portal vein thrombosis in liver cirrhosis: A systematic review and meta-analysis[J]. Eur J Intern Med, 2022, 104: 21- 32. DOI: 10.1016/j.ejim.2022.05.032. [7] SENZOLO M, GARCIA-TSAO G, GARCÍA-PAGÁN JC. Current knowledge and management of portal vein thrombosis in cirrhosis[J]. J Hepatol, 2021, 75( 2): 442- 453. DOI: 10.1016/j.jhep.2021.04.029. [8] QI XS, de STEFANO V, LI HY, et al. Anticoagulation for the treatment of portal vein thrombosis in liver cirrhosis: A systematic review and meta-analysis of observational studies[J]. Eur J Intern Med, 2015, 26( 1): 23- 29. DOI: 10.1016/j.ejim.2014.12.002. [9] STINE JG, SHAH PM, CORNELLA SL, et al. Portal vein thrombosis, mortality and hepatic decompensation in patients with cirrhosis: A meta-analysis[J]. World J Hepatol, 2015, 7( 27): 2774- 2780. DOI: 10.4254/wjh.v7.i27.2774. [10] LYU SC, HE Q. Research progress in perioperative management of portal vein thrombosis in liver transplantation[J]. Organ Transplant, 2024, 15( 1): 26- 32. DOI: 10.3969/j.issn.1674-7445.2023185.吕少诚, 贺强. 肝移植围手术期门静脉血栓管理的研究进展[J]. 器官移植, 2024, 15( 1): 26- 32. DOI: 10.3969/j.issn.1674-7445.2023185. [11] GUERRERO A, DEL CAMPO L, PISCAGLIA F, et al. Anticoagulation improves survival in patients with cirrhosis and portal vein thrombosis: The IMPORTAL competing-risk meta-analysis[J]. J Hepatol, 2023, 79( 1): 69- 78. DOI: 10.1016/j.jhep.2023.02.023. [12] ELKRIEF L, HERNANDEZ-GEA V, SENZOLO M, et al. Portal vein thrombosis: Diagnosis, management, and endpoints for future clinical studies[J]. Lancet Gastroenterol Hepatol, 2024, 9( 9): 859- 883. DOI: 10.1016/S2468-1253(24)00155-9. [13] LOFFREDO L, PASTORI D, FARCOMENI A, et al. Effects of anticoagulants in patients with cirrhosis and portal vein thrombosis: A systematic review and meta-analysis[J]. Gastroenterology, 2017, 153( 2): 480- 487. e 1. DOI: 10.1053/j.gastro.2017.04.042. [14] de FRANCHIS R, BOSCH J, GARCIA-TSAO G, et al. Baveno VII- Renewing consensus in portal hypertension[J]. J Hepatol, 2022, 76( 4): 959- 974. DOI: 10.1016/j.jhep.2021.12.022. [15] PHILIPS CA, RAJESH S, GEORGE T, et al. Early, late, or no shunt embolization in patients with cirrhosis- and portosystemic shunt-related hepatic encephalopathy[J]. Indian J Gastroenterol, 2020, 39( 4): 377- 387. DOI: 10.1007/s12664-020-01042-x. [16] YI FF, GUO XZ, WANG L, et al. Impact of spontaneous splenorenal shunt on liver volume and long-term survival of liver cirrhosis[J]. J Gastroenterol Hepatol, 2021, 36( 6): 1694- 1702. DOI: 10.1111/jgh.15386. [17] TALLÓN AGUILAR L, JIMÉNEZ RIERA G, SUÁREZ ARTACHO G, et al. Posttransplantation portal thrombosis secondary to splenorenal shunt persistence[J]. Transplant Proc, 2010, 42( 8): 3169- 3170. DOI: 10.1016/j.transproceed.2010.05.075. [18] LV Y, BAI W, LI K, et al. Anticoagulation and transjugular intrahepatic portosystemic shunt for the management of portal vein thrombosis in cirrhosis: A prospective observational study[J]. Am J Gastroenterol, 2021, 116( 7): 1447- 1464. DOI: 10.14309/ajg.0000000000001194. [19] WANG L, GUO XZ, XU XB, et al. Anticoagulation favors Thrombus recanalization and survival in patients with liver cirrhosis and portal vein thrombosis: Results of a meta-analysis[J]. Adv Ther, 2021, 38( 1): 495- 520. DOI: 10.1007/s12325-020-01550-4. [20] DELGADO MG, SEIJO S, YEPES I, et al. Efficacy and safety of anticoagulation on patients with cirrhosis and portal vein thrombosis[J]. Clin Gastroenterol Hepatol, 2012, 10( 7): 776- 783. DOI: 10.1016/j.cgh.2012.01.012. [21] RAJESH S, PHILIPS CA, AHAMED R, et al. Friend or foe? spontaneous portosystemic shunts in cirrhosis-current understanding and future prospects[J]. Can J Gastroenterol Hepatol, 2021, 2021: 8795115. DOI: 10.1155/2021/8795115. -

PDF下载 ( 3328 KB)
下载:
