中文English
ISSN 1001-5256 (Print)
ISSN 2097-3497 (Online)
CN 22-1108/R
Volume 41 Issue 6
Jun.  2025
Turn off MathJax
Article Contents

Safety and efficacy of puncture cyanoacrylate selective seal under endoscopic ultrasound versus traditional endoscopy in treatment of gastroesophageal varices: A randomized controlled trial

DOI: 10.12449/JCH250617
Research funding:

Beijing Municipal Administration of Hospitals Incubating Program (PX2023065)

More Information
  • Corresponding author: LI Ping, enlp@ccmu.edu.cn (ORCID: 0000-0003-4579-7984); LIANG Xiuxia, yliangxiuxia@163.com (ORCID: 0009-0008-3282-1758)
  • Received Date: 2024-10-16
  • Accepted Date: 2024-11-20
  • Published Date: 2025-06-25
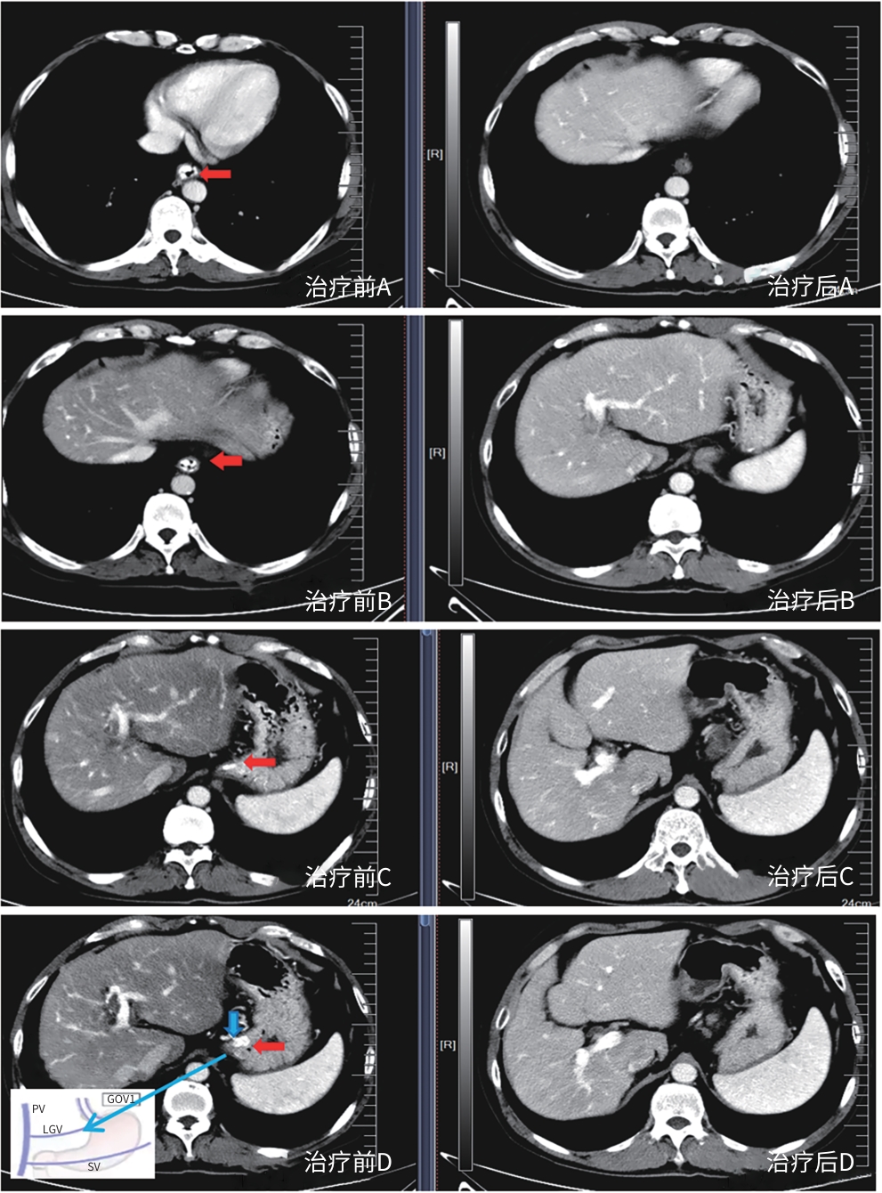
  •   Objective  To investigate the safety and efficacy of puncture cyanoacrylate selective seal (PCSS) under endoscopic ultrasound in the treatment of gastroesophageal varices (GOV).  Methods  A total of 100 patients with liver cirrhosis who underwent endoscopic therapy for the secondary prevention of GOV bleeding in Beijing Ditan Hospital, Capital Medical University, from March 1 to December 31, 2023 were enrolled and randomly divided into PCSS group and traditional endoscopy group. The patients were followed up for 6 months after surgery, and the two groups were compared in terms of clinical outcome and complications. The primary outcome measure was the rate of alleviation or disappearance of GOV, and the secondary outcome measure was variceal rebleeding and death. The independent-samples t test was used for comparison of normally distributed or approximately normally distributed quantitative data between two groups, and the Wilcoxon non-parametric test was used for comparison of non-normally distributed quantitative data between two groups; the chi-square test or the Fisher’s exact test was used for comparison of qualitative data between two groups.  Results  There were 50 patients in the PCSS group, among whom 1 patient was lost to follow-up, and there were 50 patients in the traditional endoscopy group, among whom 3 patients were lost to follow-up. There were no significant differences between the two groups in baseline data such as age, sex, Child-Pugh class, varices grade, and GOV typing (all P>0.05). Compared with the traditional endoscopy group, the PCSS group had significantly better results of the number of endoscopic treatment sessions (t=-15.671, P=0.001), the total amount of tissue adhesive used (t=-2.830, P=0.006), and the rate of alleviation or eradication of varices sclerosis (χ2=7.078, P=0.029). Both groups had low rates of postoperative rebleeding, adverse reactions, and complications, and there were no significant differences between the two groups (all P>0.05).  Conclusion  Compared with traditional endoscopy, PCSS can significantly enhance treatment outcome while maintaining safety standards.

     

  • loading
  • [1]
    MAYDEO A, PATIL G. How to approach a patient with gastric varices[J]. Gastroenterology, 2022, 162( 3): 689- 695. DOI: 10.1053/j.gastro.2021.12.277.
    [2]
    WENDY TAN AY, CHIENG JY. Endoscopic variceal ligation as primary prophylaxis for esophageal variceal bleeding at a Malaysian tertiary hospital[J]. Med J Malaysia, 2018, 73( 6): 361- 364.
    [3]
    GARCIA-TSAO G, SANYAL AJ, GRACE ND, et al. Prevention and management of gastroesophageal varices and variceal hemorrhage in cirrhosis[J]. Hepatology, 2007, 46( 3): 922- 938. DOI: 10.1002/hep.21907.
    [4]
    ZHANG MY, LI P, MOU HJ, et al. Clip-assisted endoscopic cyanoacrylate injection for gastric varices with a gastrorenal shunt: A multicenter study[J]. Endoscopy, 2019, 51( 10): 936- 940. DOI: 10.1055/a-0977-3022.
    [5]
    Esophagogastric Varices Group of Chinese Society of Digestive Endoscopology. Trial protocol for endoscopic diagnosis and treatment of gastrointestinal varicose veins and bleeding(2009)[J]. China Contin Med Educ, 2010, 2( 6): 21- 26.

    中华医学会消化内镜学分会食管胃静脉曲张学组. 消化道静脉曲张及出血的内镜诊断和治疗规范试行方案(2009年)[J]. 中国继续医学教育, 2010, 2( 6): 21- 26.
    [6]
    KAPLAN DE, RIPOLL C, THIELE M, et al. AASLD Practice Guidance on risk stratification and management of portal hypertension and varices in cirrhosis[J]. Hepatology, 2024, 79( 5): 1180- 1211. DOI: 10.1097/HEP.0000000000000647.
    [7]
    ZHANG S, ZHANG XB, LIU YD, et al. Endoscopic management of esophagogastric varices in patients with liver cirrhosis[J/OL]. Chin J Gastrointestial Endoscopy(Electronic Editon), 2024, 11( 3): 191- 194. DOI: 10.3877/cma.j.issn.2095-7157.2024.03.010.

    张帅, 张晓彬, 刘迎娣, 等. 肝硬化食管胃静脉曲张的内镜管理[J/OL]. 中华胃肠内镜电子杂志, 2024, 11( 3): 191- 194. DOI: 10.3877/cma.j.issn.2095-7157.2024.03.010.
    [8]
    de FRANCHIS R, BOSCH J, GARCIA-TSAO G, et al. Baveno VII- Renewing consensus in portal hypertension[J]. J Hepatol, 2022, 76( 4): 959- 974. DOI: 10.1016/j.jhep.2021.12.022.
    [9]
    KRIGE J, JONAS E, KOTZE U, et al. Defining the advantages and exposing the limitations of endoscopic variceal ligation in controlling acute bleeding and achieving complete variceal eradication[J]. World J Gastrointest Endosc, 2020, 12( 10): 365- 377. DOI: 10.4253/wjge.v12.i10.365.
    [10]
    ALI SM, WU SB, XU HW, et al. A prospective study of endoscopic injection sclerotherapy and endoscopic variceal ligation in the treatment of esophageal varices[J]. J Laparoendosc Adv Surg Tech A, 2017, 27( 4): 333- 341. DOI: 10.1089/lap.2016.0436.
    [11]
    SCHUMAN BM, BECKMAN JW, TEDESCO FJ, et al. Complications of endoscopic injection sclerotherapy: a review[J]. Am J Gastroenterol, 1987, 82: 823- 830.
    [12]
    O’ROURKE J, TODD A, SHEKHAR C, et al. EUS-guided thrombin injection and coil implantation for gastric varices: Feasibility, safety, and outcomes[J]. Gastrointest Endosc, 2024, 100( 3): 549- 556. DOI: 10.1016/j.gie.2024.01.044.
    [13]
    TSENG Y, MA LL, LUO TC, et al. Patient response to endoscopic therapy for gastroesophageal varices based on endoscopic ultrasound findings[J]. Gut Liver, 2018, 12( 5): 562- 570. DOI: 10.5009/gnl17471.
    [14]
    CARNEIRO FOAA, RETES FA, MATUGUMA SE, et al. Role of EUS evaluation after endoscopic eradication of esophageal varices with band ligation[J]. Gastrointest Endosc, 2016, 84( 3): 400- 407. DOI: 10.1016/j.gie.2016.02.006.
    [15]
    IRISAWA A, SAITO A, OBARA K, et al. Endoscopic recurrence of esophageal varices is associated with the specific EUS abnormalities: Severe periesophageal collateral veins and large perforating veins[J]. Gastrointest Endosc, 2001, 53( 1): 77- 84. DOI: 10.1067/mge.2001.108479.
    [16]
    SOMEBERG KA. TIPS: safe, effective, better?[J]. Am J Gastroenterol, 1997, 92( 9): 1412- 1416.
    [17]
    LIANG A, BRAR S, ALMAGHRABI M, et al. Primary prevention of hepatic encephalopathy post-TIPS: A systematic review and meta-analysis[J]. Medicine(Baltimore), 2023, 102( 38): e35266. DOI: 10.1097/MD.0000000000035266.
    [18]
    ZHANG H, XIAO JQ, TU JJ, et al. Prevention of variceal rebleeding in cirrhotic patients with spontaneous portosystemic shunts: Transjugular intrahepatic portosystemic shunt versus endoscopic treatment[J]. Eur J Gastroenterol Hepatol, 2021, 33( 5): 752- 761. DOI: 10.1097/MEG.0000000000002079.
    [19]
    KHAKWANI A, TRIVEDI M, AFZAL M, et al. Use of balloon occluded retrograde transvenous obliteration(BRTO) for treatment of gastric varices: A narrative review[J]. Cureus, 2023, 15( 4): e38233. DOI: 10.7759/cureus.38233.
    [20]
    MOHAN BP, CHANDAN S, KHAN SR, et al. Efficacy and safety of endoscopic ultrasound-guided therapy versus direct endoscopic glue injection therapy for gastric varices: Systematic review and meta-analysis[J]. Endoscopy, 2020, 52( 4): 259- 267. DOI: 10.1055/a-1098-1817.
    [21]
    SAMANTA J, NABI Z, FACCIORUSSO A, et al. EUS-guided coil and glue injection versus endoscopic glue injection for gastric varices: International multicentre propensity-matched analysis[J]. Liver Int, 2023, 43( 8): 1783- 1792. DOI: 10.1111/liv.15630.
    [22]
    GRALNEK IM, CAMUS DUBOC M, GARCIA-PAGAN JC, et al. Endoscopic diagnosis and management of esophagogastric variceal hemorrhage: European Society of Gastrointestinal Endoscopy(ESGE) Guideline[J]. Endoscopy, 2022, 54( 11): 1094- 1120. DOI: 10.1055/a-1939-4887.
  • 加载中

Catalog

    通讯作者: 陈斌, bchen63@163.com
    • 1. 

      沈阳化工大学材料科学与工程学院 沈阳 110142

    1. 本站搜索
    2. 百度学术搜索
    3. 万方数据库搜索
    4. CNKI搜索

    Figures(2)  / Tables(3)

    Article Metrics

    Article views (1029) PDF downloads(58) Cited by()
    Proportional views
    Related

    /

    DownLoad:  Full-Size Img  PowerPoint
    Return
    Return