中文English
ISSN 1001-5256 (Print)
ISSN 2097-3497 (Online)
CN 22-1108/R

Vol.41 No.2 (292 in total) Feb. 2025

Theme Issue: Current Situation and Prospects of the Prevention and Treatment of Viral Hepatitis in China 

Executive Chief Editor: WANG Yu

Chinese Foundation for Hepatitis Prevention and Treatment

Display Method:
Editorial
Public health management strategies: A pathway to eliminating viral hepatitis threats
Yu WANG
2025, 41(2): 201-204. DOI: 10.12449/JCH250201
Abstract(2427) HTML (232) PDF (534KB)(141)
Abstract:
This article reviews the results of the 2020 national epidemiological survey of chronic viral hepatitis and its public health significance and discusses the differences in standard treatment and management rates and public health management mode between chronic viral hepatitis and AIDS/tuberculosis. Finally, it is proposed that a public health management model should be established to accelerate the elimination of the threats of viral hepatitis and related diseases.
Expert Forum
Advances and challenges in the treatment of chronic hepatitis B in China
Shan SHAN, Jidong JIA
2025, 41(2): 205-209. DOI: 10.12449/JCH250202
Abstract(3336) HTML (390) PDF (630KB)(372)
Abstract:
Since 1992, China has adopted a comprehensive strategy centered on universal infant hepatitis B vaccination. This approach has led to a significant reduction in the prevalence of hepatitis B surface antigen, particularly among younger age groups. Antiviral therapy not only improves the liver histology but also reduces the incidences of complications of cirrhosis and portal hypertension, as well as the risk of hepatocellular carcinoma. Clinical guidelines for the prevention and treatment of chronic hepatitis B have been periodically updated, and the prices of antiviral drugs have been substantially lowered, enhancing treatment accessibility and affordability. However, the HBV-related disease burden remains high in China due to its large population, the considerable number of individuals already chronically infected with HBV, and the low rates of diagnosis and treatment. To meet the global goal of eliminating viral hepatitis as a public health threat by 2030, large-scale testing and treatment of those already infected with HBV are critical.
Strategies and advances in hepatitis B vaccination in China
Lin TANG, Xia XU, Zemei ZHOU, Xiaoqi WANG, Jizhen LI, Zundong YIN, Fuzhen WANG
2025, 41(2): 210-215. DOI: 10.12449/JCH250203
Abstract(3671) HTML (664) PDF (1327KB)(259)
Abstract:
Hepatitis B is a major global public health issue. Through the implementation of comprehensive prevention and control strategies centered on hepatitis B vaccination, China has achieved remarkable progress in hepatitis B prevention and control, while there are still many issues and challenges. This article reviews the development of hepatitis B vaccination strategies in China, analyzes the goal and advances in vaccination in different populations, and problems and challenges, in order to provide a reference for further optimizing vaccination strategies and improving the levels of prevention and control.
Advances, achievements, and challenges in action to eliminate hepatitis C as a public health threat in China
Jian LI, Zhongfu LIU
2025, 41(2): 216-220. DOI: 10.12449/JCH250204
Abstract(3089) HTML (386) PDF (630KB)(144)
Abstract:
In 2016, the World Health Organization proposed the vision of eliminating viral hepatitis as a public health threat by 2030, and since then, China has actively promoted the elimination of hepatitis C as a public health threat and has made great achievements by formulating policies, clarifying main tasks, focusing on key issues, and implementing prevention and treatment measures. This article reviews the advances and achievements in China’s actions to eliminate hepatitis C as a public health threat since 2016, analyzes the existing problems and challenges, and puts forward recommendations for future prevention and control strategies, in order to provide a reference for achieving the goal of eliminating viral hepatitis as a public health threat by 2030.
Research advances in the disease burden of viral hepatitis in China
Jian LI, Fuzhen WANG, Zhongdan CHEN, Jinlei QI, Ailing WANG, Fanghui ZHAO, Yuanyuan KONG, Jing SUN, Jiaqi KANG, Zundong YIN, Zhongfu LIU, Jidong JIA, Yu WANG
2025, 41(2): 221-227. DOI: 10.12449/JCH250205
Abstract(2631) HTML (435) PDF (2377KB)(318)
Abstract:
Over the past three decades, China has made significant progress in the prevention and control of viral hepatitis, and the incidence rates of new-onset pediatric hepatitis B virus infections and acute viral hepatitis in the population have reduced to a relatively low level; however, there is still a heavy disease burden of chronic viral hepatitis in China, which severely affects the health status of the population. This study systematically summarizes the achievements of viral hepatitis prevention and control in China, analyzes existing problems and challenges, and proposes comprehensive prevention and control strategies and measures to eliminate viral hepatitis as a public health threat based on the national conditions of China, in order to provide a reference for related departments in China on how to achieve the action targets for eliminating viral hepatitis as a public health threat by 2030.
Working practices in eliminating the public health crisis caused by viral hepatitis in Hainan Province of China
Weihua LI, Changfu XIONG, Taifan CHEN, Bin HE, Dapeng YIN, Xuexia ZENG, Feng LIN, Biyu CHEN, Xiaomei ZENG, Biao WU, Juan JIANG, Lu ZHONG, Yuhui ZHANG
2025, 41(2): 228-233. DOI: 10.12449/JCH250206
Abstract(2869) HTML (368) PDF (1009KB)(111)
Abstract:
In 2022, Hainan provincial government launched the project for the prevention and control of viral hepatitis with the goals of a hepatitis B screening rate of 90%, a diagnostic rate of 90%, and a treatment rate of 80% among people aged 18 years and above by the year 2025, and the main intervention measures include population-based prevention, case screening, antiviral therapy, and health management. As of December 31, 2024, a total of 6.875 million individuals in the general population had been screened for hepatitis B, with a screening rate of 95.6%. A total of 184 710 individuals with positive HBsAg were identified, among whom 156 772 were diagnosed through serological reexamination, resulting in a diagnostic rate of 84.9%. A total of 50 742 patients with chronic hepatitis B were identified, among whom 42 921 had hepatitis B-specific health records established for health management, with a file establishment rate of 84.6%. A total of 31 553 individuals received antiviral therapy, with a treatment rate of 62.2%. A total of 2.503 million individuals at a high risk of hepatitis C were screened, among whom 4 870 tested positive for HCV antibody and 3 858 underwent HCV RNA testing, resulting in a diagnostic rate of 79.2%, and 1 824 individuals with positive HCV RNA were identified, among whom 1 194 received antiviral therapy, with a treatment rate of 65.5%. In addition, 159 301 individuals with negative HBsAg and anti-HBs and an age of 20 — 40 years were inoculated with hepatitis B vaccine free of charge. Through the implementation of the project for the prevention and control of viral hepatitis, a large number of hepatitis patients have been identified, treated, and managed in the province within a short period of time, which significantly accelerates the efforts to eliminate the crisis of viral hepatitis.
Guideline
An excerpt of EASL clinical practice guidelines on the management of hepatocellular carcinoma(2024 edition)
Jiarui YANG, Jianxin JIANG
2025, 41(2): 234-239. DOI: 10.12449/JCH250207
Abstract(3293) HTML (395) PDF (609KB)(249)
Abstract:
Liver cancer is the third leading cause of cancer-related deaths worldwide, among which hepatocellular carcinoma (HCC) accounts for approximately 90% in primary liver cancer. The advances in diagnostic and treatment tools, along with a deeper understanding of their application, are transforming the treatment modality for patients. The application of these innovations in clinical practice faces challenges and requires guidance, and related clinical practice guidelines provide the latest recommendations for the management of HCC patients and conduct a comprehensive review of related data. In the 2024 EASL guidelines, a multidisciplinary team from multiple specialties conducts a multi-parameter assessment of individual risks and benefits from the perspective of patients.
An excerpt of EASL clinical practice guidelines on liver transplantation (2024 edition)
Yanbin NI, Jiye ZHU
2025, 41(2): 240-246. DOI: 10.12449/JCH250208
Abstract(3266) HTML (484) PDF (636KB)(192)
Abstract:
In July 2024, the European Association for the Study of the Liver released the latest edition of EASL Clinical Practice Guidelines on liver transplantation. The purpose of the EASL guidelines presented here is not to cover all aspects of liver transplantation, but to focus on important advances since the release of the 2016 edition of EASL guidelines. This article gives an excerpt of the recommendations in the guidelines.
Fatty Liver Disease
Association of menopausal time and menopausal age with nonalcoholic fatty liver disease: An analysis based on a restricted cubic spline model
Chenlu ZHAO, Suping MA, Dongfang SHANG, Sutong LIU, Xiaoyan LIU, Yuanyuan ZHENG, Wenxia ZHAO
2025, 41(2): 247-253. DOI: 10.12449/JCH250209
Abstract(2834) HTML (341) PDF (1241KB)(83)
Abstract:
  Objective  To investigate the association of menopausal time and menopausal age with the risk of nonalcoholic fatty liver disease (NAFLD), and to provide a basis for the early prevention and treatment of NAFLD in clinical practice.  Methods  Related data were collected from 373 postmenopausal women who attended the outpatient service of Department of Spleen, Stomach, Liver and Gallbladder Diseases, The First Affiliated Hospital of Henan University of Chinese Medicine, from January 2017 to December 2021, including general information, menopausal age, menopausal time, and presence or absence of NAFLD. The chi-square test was used for comparison of categorical data; the independent-samples t test was used for comparison of normally distributed continuous data between groups, and the Wilcoxon rank-sum test was used for comparison of non-normally distributed continuous data between groups. A Logistic regression analysis was used to calculate the association intensity and 95% confidence interval (95%CI) of menopausal time and menopausal age for the risk of NAFLD, and the restricted cubic spline (RCS) method was used to investigate the dose-response relationship between menopausal time/age and the risk of NAFLD.  Results  Compared with the women with normal menopause or late menopause, the women with early menopause had a higher prevalence rate of NAFLD and a higher degree of steatosis and fibrosis (all P<0.05). After adjustment for the confounding factors such as age and age of menarche, the risk of NAFLD in women with a menopausal time of >3 years was 4.80 (95%CI: 1.93‍ ‍—‍‍ ‍11.95, P=0.001) times that in women with a menopausal time of ≤3 years, and the risk of NAFLD in women with early or late menopause was 8.14 times (95%CI: ‍1.77 ‍— ‍37.58, P=0.007) and 0.09 times (95%CI: 0.03 ‍— ‍0.32, P<0.001), respectively, that in those with a normal menopausal age. There is a dose-response relationship between menopausal time/age and the risk of NAFLD. Menopausal time is positively correlated with the association intensity of NAFLD, while menopausal age is negatively correlated with the association intensity of NAFLD.  Conclusion  The longer the menopause time and the earlier the menopause age, the ligher the risk of NAFLD.
Mechanism of 1,25(OH)2D3 improving liver inflammation in a rat model of nonalcoholic steatohepatitis induced by choline-deficient L-amino acid-defined diet
Haiyang ZHU, Jingshu CUI, Liu YANG, Mengting ZHOU, Jian TONG, Hongmei HAN
2025, 41(2): 254-262. DOI: 10.12449/JCH250210
Abstract(725) HTML (221) PDF (4284KB)(57)
Abstract:
  Objective  To investigate the effect of 1,25(OH)2D3 on the level of peroxisome proliferator-activated receptor-γ (PPAR-γ) in the liver, the phenotype of hepatic macrophages, and liver inflammation in a rat model of nonalcoholic steatohepatitis (NASH), as well as the mechanism of 1,25(OH)2D3 improving liver inflammation.  Methods  After 1 week of adaptive feeding, 24 specific pathogen-free Wistar rats were randomly divided into normal group [choline-supplemented L-amino acid-defined (CSAA) diet], normal+1,25(OH)2D3 group [CSAA diet+1,25(OH)2D3], model group [choline-deficient L-amino acid-defined diet (CDAA) diet], and model+1,25(OH)2D3 group [CDAA diet+1,25(OH)2D3], with 6 rats in each group. The dose of 1,25(OH)2D3 was 5 μg/kg for intraperitoneal injection twice a week for 12 weeks. The serum levels of aspartate aminotransferase (AST) and alanine aminotransferase (ALT) were measured, liver histopathology was observed, and SAF score was assessed. M1 hepatic macrophages and M2 hepatic macrophages were measured to analyze in the change in the phenotype of hepatic macrophages, and ELISA was used to measure the levels of tumor necrosis factor-α (TNF-α), interleukin-1β (IL-1β), interleukin-4 (IL-4), and interleukin-10 (IL-10) in liver tissue, and qPCR was used to measure the mRNA level of PPAR-γ. The two-factor analysis of variance was use for comparison between groups, and the least significant difference t-test was used for further comparison; the Pearson method was used for correlation analysis.  Results  Compared with the normal group, the model rats with CDAA diet-induced NASH had significant increases in the serum levels of AST and ALT (P=0.019 and P<0.001), the SAF score of liver histopathology (P<0.001), the level of M1 hepatic macrophages (P<0.001), and the ratio of M1 and M2 hepatic macrophages (P<0.001), as well as a significant increase in the level of TNF-α (P<0.001) and a significant reduction in the level of IL-4 in liver tissue (P=0.025). The 1,25(OH)2D3 group had significant reductions in the serum levels of ALT (P<0.001), the SAF score of liver histopathology (P<0.001), the level of M1 hepatic macrophages (P<0.001), and the ratio of M1 and M2 hepatic macrophages (P=0.001), the level of IL-1β (P<0.001) and a significant increase in the level of M2 hepatic macrophages (P=0.017), the level of IL-10 (P=0.039), the level of IL-4 (P<0.001), the level of PPAR-γ (P=0.016). There were significant interactions between CDAA diet-induced NASH model and 1,25(OH)2D3 in serum the levels of AST and ALT (P=0.007 and P=0.008), the SAF scores of liver histopathology (P<0.001), the level of M1 hepatic macrophages (P<0.001), the level of M2 hepatic macrophages (P=0.008), the ratio of M1 and M2 of hepatic macrophages (P=0.005), the level of TNF-α (P<0.001), the level of IL-10 (P=0.038), the level of IL-4 (P<0.001) and the level of PPAR-γ (P=0.009). The correlation analysis showed that PPAR-γ was negatively correlated with the ratio of M1 and M2 hepatic macrophages (r=-0.415, P=0.044) and was positively correlated with M2 hepatic macrophages (r=0.435, P=0.033), IL-10 (r=0.433, P=0.035), and IL-4 (r=0.532, P=0.007).  Conclusion  This study shows that 1,25(OH)2D3 improves liver inflammation in NASH by activating PPAR-γ to regulate the phenotypic transformation of hepatic macrophages.
Liver Fibrosis and Liver Cirrhosis
Value of different noninvasive diagnostic models in the diagnosis of esophageal and gastric varices with significant portal hypertension in compensated hepatitis B cirrhosis
Cheng LIU, Jiayi ZENG, Mengbing FANG, Zhiheng CHEN, Bei GUI, Fengming ZHAO, Jingkai YUAN, Chaozhen ZHANG, Meijie SHI, Yubao XIE, Xiaoling CHI, Huanming XIAO
2025, 41(2): 263-268. DOI: 10.12449/JCH250211
Abstract(2251) HTML (324) PDF (919KB)(80)
Abstract:
  Objective  To investigate the value of different noninvasive diagnostic models in the diagnosis of esophageal and gastric varices since there is a high risk of esophageal and gastric varices in patients with compensated hepatitis B cirrhosis and significant portal hypertension, and to provide a basis for the early diagnosis of esophageal and gastric varices.  Methods  A total of 108 patients with significant portal hypertension due to compensated hepatitis B cirrhosis who attended Guangdong Provincial Hospital of Traditional Chinese Medicine from November 2017 to November 2023 were enrolled, and according to the presence or absence of esophageal and gastric varices under gastroscopy, they were divided into esophageal and gastric varices group (GOV group) and non-esophageal and gastric varices group (NGOV group). Related data were collected, including age, sex, imaging findings, and laboratory markers. The chi-square test was used for comparison of categorical data between groups; the least significant difference t-test was used for comparison of normally distributed continuous data between groups, and the Mann-Whitney U test was used for comparison of non-normally distributed continuous data between groups. The receiver operating characteristic (ROC) curve was plotted to evaluate the diagnostic value of five scoring models, i.e., fibrosis-4 (FIB-4), LOK index, LPRI, aspartate aminotransferase-to-platelet ratio index (APRI), and aspartate aminotransferase/alanine aminotransferase ratio (AAR). The binary logistic regression method was used to establish a combined model, and the area under the ROC curve (AUC) was compared between the combined model and each scoring model used alone. The Delong test was used to compare the AUC value between any two noninvasive diagnostic models.  Results  There were 55 patients in the GOV group and 53 patients in the NGOV group. Compared with the NGOV group, the GOV group had a significantly higher age (52.64±1.44 years vs 47.96±1.68 years, t=0.453, P<0.05) and significantly lower levels of alanine aminotransferase [42.00 (24.00 — 17.00) U/L vs 82.00 (46.00 — 271.00) U/L, Z=-3.065, P<0.05], aspartate aminotransferase [44.00 (32.00 — 96.00) U/L vs 62.00 (42.50 — 154.50) U/L,Z=-2.351, P<0.05], and platelet count [100.00 (69.00 — 120.00)×109/L vs 119.00 (108.50 — 140.50)×109/L, Z=-3.667, P<0.05]. The ROC curve analysis showed that FIB-4, LOK index, LPRI, and AAR used alone had an accuracy of 0.667, 0.681, 0.730, and 0.639, respectively, in the diagnosis of esophageal and gastric varices (all P<0.05), and the positive diagnostic rates of GOV were 69.97%, 65.28%, 67.33%, and 58.86%, respectively, with no significant differences in AUC values (all P>0.05), while APRI used alone had no diagnostic value (P>0.05). A combined model (LAF) was established based on the binary logistic regression analysis and had an AUC of 0.805 and a positive diagnostic rate of GOV of 75.80%, with a significantly higher AUC than FIB-4, LOK index, LPRI, and AAR used alone (Z=-2.773,-2.479,-2.206, and-2.672, all P<0.05).  Conclusion  FIB-4, LOK index, LPRI, and AAR have a similar diagnostic value for esophageal and gastric varices in patients with compensated hepatitis B cirrhosis and significant portal hypertension, and APRI alone has no diagnostic value. The combined model LAF had the best diagnostic efficacy, which provides a certain reference for clinical promotion and application.
Influencing factors for recompensation in patients with decompensated hepatitis C cirrhosis
Danqing XU, Huan MU, Yingyuan ZHANG, Lixian CHANG, Yuanzhen WANG, Weikun LI, Zhijian DONG, Lihua ZHANG, Yijing CHENG, Li LIU
2025, 41(2): 269-276. DOI: 10.12449/JCH250212
Abstract(915) HTML (523) PDF (1211KB)(99)
Abstract:
  Objective  To investigate the influencing factors for recompensation in patients with decompensated hepatitis C cirrhosis, and to establish a predictive model.  Methods  A total of 217 patients who were diagnosed with decompensated hepatitis C cirrhosis and were admitted to The Third People’s Hospital of Kunming l from January, 2019 to December, 2022 were enrolled, among whom 63 patients who were readmitted within at least 1 year and had no portal hypertension-related complications were enrolled as recompensation group, and 154 patients without recompensation were enrolled as control group. Related clinical data were collected, and univariate and multivariate analyses were performed for the factors that may affect the occurrence of recompensation. The independent-samples t test was used for comparison of normally distributed measurement data between two groups, and the Mann-Whitney U test was used for comparison of non-normally distributed measurement data between two groups; the chi-square test or the Fisher’s exact test was used for comparison of categorical data between two groups. A binary Logistic regression analysis was used to investigate the influencing factors for recompensation in patients with decompensated hepatitis C cirrhosis, and the receiver operating characteristic (ROC) curve was used to assess the predictive performance of the model.  Results  Among the 217 patients with decompensated hepatitis C cirrhosis, 63 (29.03%) had recompensation. There were significant differences between the recompensation group and the control group in HIV history (χ2=4.566, P=0.034), history of partial splenic embolism (χ2=6.687, P=0.014), Child-Pugh classification (χ2=11.978, P=0.003), grade of ascites (χ2=14.229, P<0.001), albumin (t=4.063, P<0.001), prealbumin (Z=-3.077, P=0.002), high-density lipoprotein (t=2.854, P=0.011), high-sensitivity C-reactive protein (Z=-2.447, P=0.014), prothrombin time (Z=-2.441, P=0.015), carcinoembryonic antigen (Z=-2.113, P=0.035), alpha-fetoprotein (AFP) (Z=-2.063, P=0.039), CA125 (Z=-2.270, P=0.023), TT3 (Z=-3.304, P<0.001), TT4 (Z=-2.221, P=0.026), CD45+Z=-2.278, P=0.023), interleukin-5 (Z=-2.845, P=0.004), tumor necrosis factor-α (Z=-2.176, P=0.030), and portal vein width (Z=-5.283, P=0.005). The multivariate analysis showed that history of partial splenic embolism (odds ratio [OR]=3.064, P=0.049), HIV history (OR=0.195, P=0.027), a small amount of ascites (OR=3.390, P=0.017), AFP (OR=1.003, P=0.004), and portal vein width (OR=0.600, P<0.001) were independent influencing factors for the occurrence of recompensation in patients with decompensated hepatitis C cirrhosis. The ROC curve analysis showed that HIV history, grade of ascites, history of partial splenic embolism, AFP, portal vein width, and the combined predictive model of these indices had an area under the ROC curve of 0.556, 0.641, 0.560, 0.589, 0.745, and 0.817, respectively.  Conclusion  For patients with decompensated hepatitis C cirrhosis, those with a history of partial splenic embolism, a small amount of ascites, and an increase in AFP level are more likely to experience recompensation, while those with a history of HIV and an increase in portal vein width are less likely to experience recompensation.
Impact of hepatocellular carcinoma on the prognosis of patients with liver cirrhosis undergoing emergency endoscopic therapy due to esophagogastric variceal bleeding
Xiaoqin ZHU, Na WEI, Yong XIAO, Baoping YU
2025, 41(2): 277-283. DOI: 10.12449/JCH250213
Abstract(2535) HTML (320) PDF (1277KB)(74)
Abstract:
  Objective  To investigate the impact of hepatocellular carcinoma (HCC) on the prognosis of patients with liver cirrhosis undergoing emergency endoscopic therapy for esophagogastric variceal bleeding, as well as independent influencing factors for the prognosis of liver cirrhosis patients without HCC after emergency endoscopic therapy for esophagogastric variceal bleeding.  Methods  A total of 117 liver cirrhosis patients without HCC and 119 liver cirrhosis patients with HCC who underwent emergency endoscopic therapy for esophagogastric variceal bleeding in Renmin Hospital of Wuhan University from January 2017 to July 2023 were enrolled. Basic information including age and sex was collected from all patients, as well as the presence or absence of chronic diseases such as hypertension, diabetes, and coronary heart disease, the time of emergency endoscopy after admission, and liver function parameters including international normalized ratio, albumin, creatinine, sodium, total bilirubin, alanine aminotransferase, and aspartate aminotransferase (AST). The independent-samples t test was used for comparison of normally distributed continuous variables between two groups, and the Wilcoxon rank-sum test was used for comparison of non-normally distributed continuous variables between two groups; the chi-square test was used for comparison of categorical variables between groups. The covariance analysis and the multivariate logistic regression analysis were used for comparison of outcome variables after control of baseline variables, and the Kaplan-Meier survival curve was plotted for each group. The univariate and multivariate Cox regression analyses were performed for survival time in the non-HCC group to investigate the independent influencing factors for survival time, and then the Kaplan-Meier curve analysis and the log-rank test were performed to validate such independent influencing factors and analyze the independent influencing factors for secondary outcomes.  Results  Compared with the non-HCC group, the HCC group had significantly higher red blood cell transfusion units (6.00[2.00~9.00] vs 4.00[1.75~7.00], Z=-2.050, P=0.040, F=4.869, adjusted P=0.028), a significantly shorter survival time (29.77±16.01 days vs 38.07±11.43 days, t=4.574, P<0.001, F=17.294, adjusted P<0.001), and a significantly higher 5-day rebleeding rate (22.69% vs 6.84%, χ2=11.736, P<0.001, adjusted P=0.021). The Kaplan-Meier curve analysis showed that the risk of 42-day mortality in the HCC group was 3.897 (95% confidence interval [CI]: 2.338 ‍— 6.495, P<0.001) times that in the non-HCC group. The multivariate Cox regression analysis of the non-HCC group showed that the total length of hospital stay (hazard ratio [HR]=0.793, 95%CI: 0.644 ‍— ‍0.976, P=0.029) was an independent protective factor for 42-day survival. The Kaplan-Meier curve analysis showed that a length of hospital stay of >9 days was beneficial for the prognosis of patients (HR=4.302, 95%CI: 1.439 — 12.870, P=0.037). Blood sodium level (odds ratio [OR]=0.523, 95%CI: 0.289 ‍— ‍0.945, P=0.032) and MELD-Na score (OR=0.495, 95%CI: 0.257 ‍— ‍0.954, P=0.036) were independent protective factors against 5-day rebleeding, while AST level was an independent risk factor for 5-day rebleeding (OR=1.023, 95%CI: 1.002 ‍— ‍1.043, P=0.028) and in-hospital death (OR=1.036, 95%CI: 1.001‍— ‍1.073, P=0.045).  Conclusion  Liver cirrhosis patients with variceal bleeding and HCC tend to have a worse prognosis, and for the non-HCC group, in-hospital mortality rate increases with the increase in AST level. The total length of hospital stay is an independent protective factor for survival time in the non-HCC group, and it is recommended to appropriately prolong the length of hospital stay for such patients.
Liver Neoplasm
Characteristics of mitochondrial translational initiation factor 2 gene methylation and its association with the development of hepatocellular carcinoma
Huajie XIE, Kai CHANG, Yanyan WANG, Wanlin NA, Huan CAI, Xia LIU, Zhongyong JIANG, Zonghai HU, Yuan LIU
2025, 41(2): 284-291. DOI: 10.12449/JCH250214
Abstract(846) HTML (246) PDF (3131KB)(63)
Abstract:
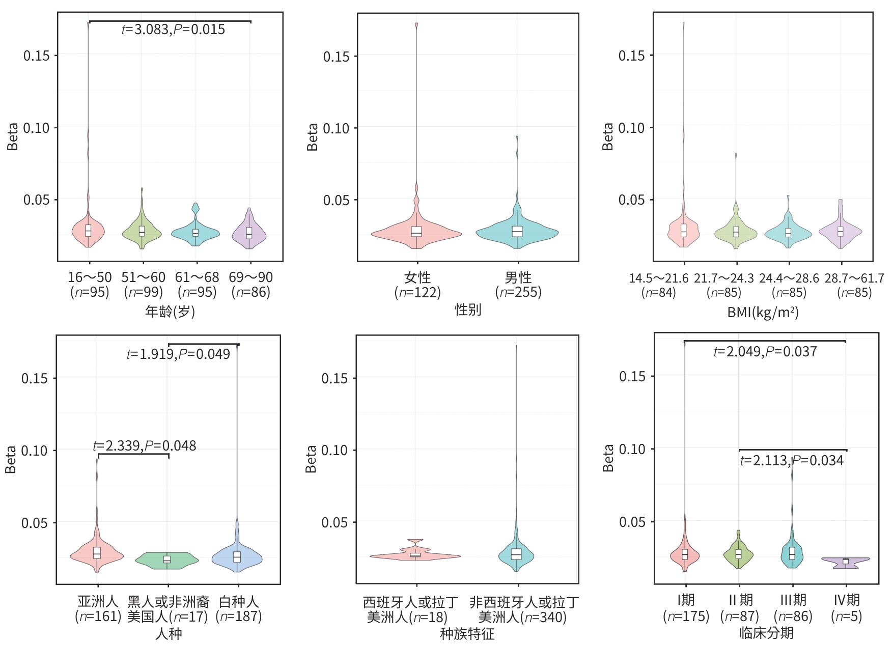
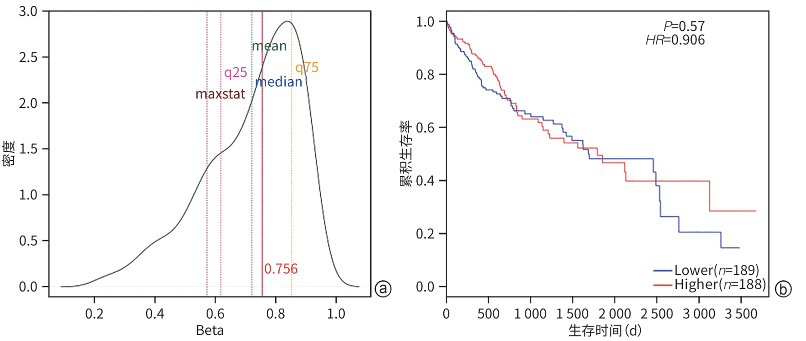
  Objective  To investigate the characteristics of mitochondrial translational initiation factor 2 (MTIF2) gene methylation and its association with the development and progression of hepatocellular carcinoma (HCC).  Methods  MethSurv and EWAS Data Hub were used to perform the standardized analysis and the cluster analysis of MTIF2 methylation samples, including survival curve analysis, methylation signature analysis, the association of tumor signaling pathways, and a comparative analysis based on pan-cancer database. The independent-samples t test was used for comparison between two groups; a one-way analysis of variance was used for comparison between multiple groups, and the least significant difference t-test was used for further comparison between two groups. The Cox proportional hazards model was used to perform the univariate and multivariate survival analyses of methylation level at the CpG site. The Kaplan-Meier method was used to investigate the survival differences between the patients with low methylation level and those with high methylation level, and the Log-likelihood ratio method was used for survival difference analysis.  Results  Global clustering of MTIF2 methylation showed that there was no significant difference in MTIF2 gene methylation level between different races, ethnicities, BMI levels, and ages. The Kaplan-Meier survival curve analysis showed that the patients with N-Shore hypermethylation of the MTIF2 gene had a significantly better prognosis than those with hypomethylation (hazard ratio [HR]=0.492, P<0.001), while there was no significant difference in survival rate between the patients with different CpG island and S-Shore methylation levels (P>0.05). The methylation profile of the MTIF2 gene based on different ages, sexes, BMI levels, races, ethnicities, and clinical stages showed that the N-Shore and CpG island methylation levels of the MTIF2 gene decreased with the increase in age, and the Caucasian population had significantly lower N-Shore methylation levels of the MTIF2 gene than the Asian population (P<0.05); the patients with clinical stage Ⅳ had significantly lower N-Shore and CpG island methylation levels of the MTIF2 gene than those with stage Ⅰ/Ⅱ (P<0.05). Clinical validation showed that the patients with stage Ⅲ/Ⅳ HCC had a significantly lower methylation level of the MTIF2 gene than those with stage Ⅰ/Ⅱ HCC and the normal population (P<0.05).  Conclusion  N-Shore hypomethylation of the MTIF2 gene is a risk factor for the development and progression of HCC.
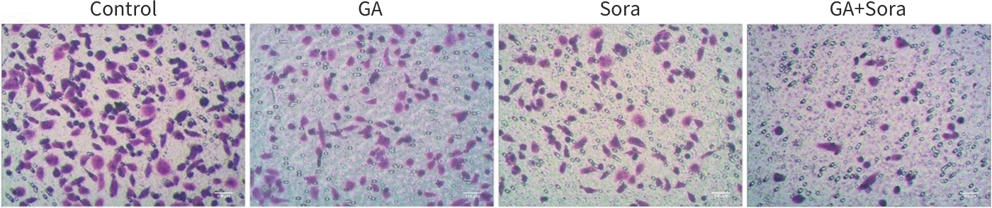
Effect of gallic acid in increasing the chemosensitivity of hepatocellular carcinoma HepG2 cells to sorafenib
Baikun LIU, Zhiru WANG, Wenjing ZHAO
2025, 41(2): 292-299. DOI: 10.12449/JCH250215
Abstract(877) HTML (408) PDF (2972KB)(64)
Abstract:
  Objective  To investigate the chemosensitization effect of gallic acid (GA) combined with sorafenib (Sora) on hepatocellular carcinoma HepG2 cells and related mechanisms.  Methods  HepG2 cells were randomly divided into control group, GA group, Sora group, and GA+Sora group. CCK8 assay was used to measure cell viability; CompuSyn software was used to analyze combination index (CI); colony formation assay was used to evaluate the colony formation ability of cells; flow cytometry was used to measure cell apoptosis; wound healing assay and Transwell chamber assay were used to observe the migration and invasion abilities of cells; Western Blot was used to measure the expression matrix metalloproteinase 2 (MMP-2), matrix metalloproteinase 9 (MMP-9), and apoptosis-related proteins. HepG2 cells were subcutaneously inoculated into the lower right back of mice, and 6 days later, the mice were divided into control group, GA group, Sora group, and GA+Sora group. Tumor size and body weight were measured once a week, and drug intervention was performed for 21 days. Then the nude mice were sacrificed, and tumor weight was measured. A one-way analysis of variance was used for comparison between multiple groups, and the least significant difference t-test was used for further comparison between two groups.  Results  The mean IC50 values of GA and Sora for the treatment of HepG2 cells for 48 hours were 123.47±5.16 μmol/L and 9.87±0.98 μmol/L, respectively, and when Sora was combined with 70 μmol/L GA (IC30), IC50 decreased to 2.06±0.35 μmol/L; the CI value was<1 for Sora at different concentrations combined with 70 μmol/L GA. The number of cell colonies was 234.0±20.4, 147.0±12.1, 129.3±13.3, and 73.0±7.6, respectively, in the four groups, and the GA+Sora group had a significantly lower number of cell colonies than the control group, the GA group, and the Sora group (all P<0.05). After 48 hours of treatment, the cell apoptosis rate was 1.98%±0.29%, 15.17%± 1.56%, 18.65%±1.48%, and 34.60%±5.36%, respectively, in the four groups, and the GA+Sora group had a significantly higher cell apoptosis rate than the control group, the GA group, and the Sora group (all P<0.05). After 24 hours of treatment, the cell migration rate was 55.59%±5.08%, 29.34%±4.36%, 21.80%±5.16%, and 6.47%±2.75%, respectively, in the four groups, and the GA+Sora group had a significantly lower cell migration rate than the control group, the GA group, and the Sora group (all P<0.05). After 48 hours of treatment, the number of transmembrane cells was 223.7±13.0, 168.3±10.9, 155.3±29.1, and 62.7±19.7, respectively, in the four groups, and the GA+Sora group had a significantly lower number of transmembrane cells than the control group, the GA group, and the Sora group (all P<0.05). Compared with the control group, the GA group, the Sora group, and the GA+Sora group had significant reductions in the protein expression levels of MMP-2, MMP-9, and Bcl-2 (all P<0.05) and significant increases in the protein expression levels of Bax and cleaved caspase-3 (all P<0.05). Compared with the control group, the GA, Sora, and GA+Sora groups had significant reductions in tumor volume and weight (all P<0.05), and compared with the Sora group, the GA+Sora group had significant reductions in tumor volume and weight in nude mice (both P<0.05).  Conclusion  GA can increase the sensitivity of HepG2 cells to Sora chemotherapy, possibly by promoting cell apoptosis and inhibiting cell migration and invasion after combination with Sora.
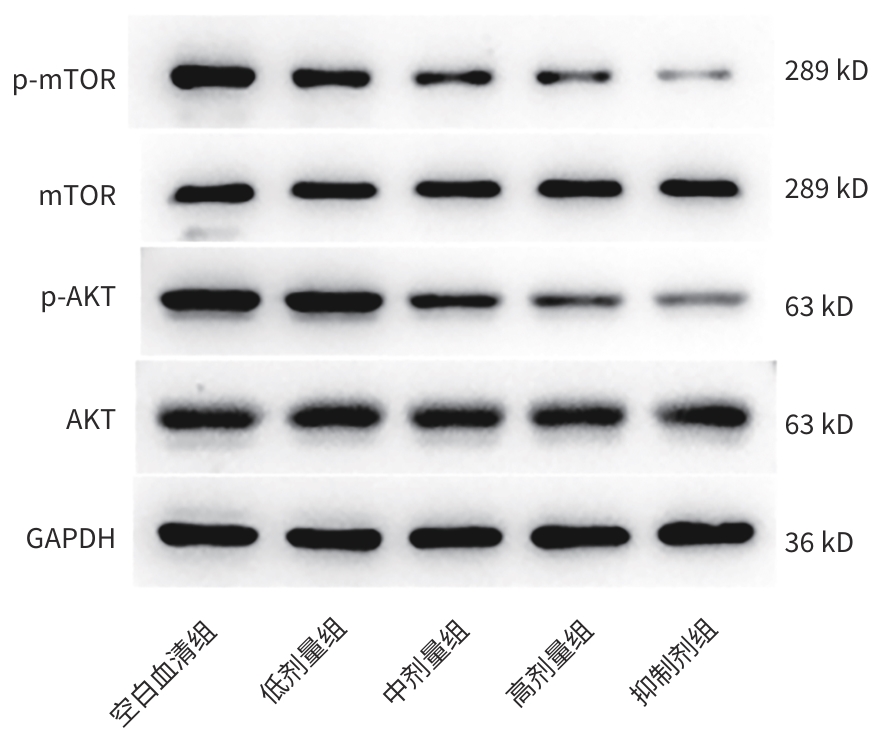
Effect of Biejia Decoction Pill on aerobic glycolysis in hepatocellular carcinoma by regulating the protein kinase B/mammalian target of rapamycin signaling pathway
Qinwen TAN, Jingjing HUANG, Ruixi ZHONG, Yuanqin DU, Jian XU, Jinli NONG, Yujiao PENG
2025, 41(2): 300-306. DOI: 10.12449/JCH250216
Abstract(1002) HTML (265) PDF (2065KB)(54)
Abstract:
  Objective  To investigate the inhibitory effect of Biejia Decoction Pill on the proliferation, migration, and aerobic glycolysis of hepatocellular carcinoma (HCC) using cell experiments, as well as related mechanisms.  Methods  Human liver cancer cell line Huh7 was selected, and Sprague-Dawley rats were randomly divided into blank serum group, inhibitor group, and high-, middle-, and low-dose Biejia Decoction Pill groups. Rat serum containing the drug was prepared for the incubation of Huh7 cells. CCK8 assay and scratch assay were used to explore the effect of Biejia Decoction Pill on the proliferation and migration of HCC cells; glycolytic rate-limiting enzymes and metabolites were measured to explore the effect of Biejia Decoction Pill on aerobic glycolysis of liver cancer cells; RT-qPCR and Western blot were used to explore the effect of Biejia Decoction Pill on the mRNA expression, related proteins, and phosphorylation of the protein kinase B (AKT)/mammalian target of rapamycin (mTOR) signaling pathway. A one-way analysis of variance was used for comparison between multiple groups, and the least significant difference t-test or the Dunnett’s T3 test were used for further comparison between two groups.  Results  Compared with the blank serum group, the Biejia Decoction Pill groups had significant reductions in OD value, migration rate during different periods of time, glycolytic rate-limiting enzymes (hexokinase, phosphofructokinase, pyruvate kinase), and glycolytic metabolites (pyruvate, lactic acid, ATP) (all P<0.05). RT-qPCR results showed that compared with the blank serum group, the high-, middle-, and low-dose Biejia Decoction Pill groups had a significant reduction in the mRNA expression level of mTOR, and the high- and low-dose Biejia Decoction Pill groups had a significant reduction in the mRNA expression level of AKT (all P<0.05). Western blot results showed that compared with the blank serum group, the high-, middle-, and low-dose Biejia Decoction Pill groups had significant reductions in the expression levels of mTOR-related proteins and phosphorylated proteins, and the high- and middle-dose Biejia Decoction Pill groups had significant reductions in the expression levels of AKT-related proteins and phosphorylated proteins (all P<0.05).  Conclusion  This study preliminarily verifies that the serum containing Bijia Decoction Pill can inhibit the aerobic glycolysis of human hepatoma Huh7 cells, thereby inhibiting their proliferation and migration, possibly by inhibiting the expression of the proteins related to the AKT/mTOR signaling pathway.
Other Liver Disease
Etiology spectrum, clinical features, and gene mutations of unexplained intrahepatic cholestasis: An analysis of 62 cases
Jialuo WANG, Yufeng ZHENG, Qingfang XIONG, Yongfeng YANG
2025, 41(2): 307-313. DOI: 10.12449/JCH250217
Abstract(3021) HTML (523) PDF (1558KB)(124)
Abstract:
  Objective  To investigate the etiology and clinical features of intrahepatic cholestasis and the diagnostic value of whole exome sequencing (WES) through a retrospective analysis of the medical history, pathological results, and gene sequencing data of 62 patients with unexplained intrahepatic cholestasis.  Methods  A retrospective analysis was performed for the clinical data of 480 patients who underwent WES due to unexplained liver function abnormalities in Nanjing Second Hospital from January 2017 to December 2023, among whom 62 patients with unexplained intrahepatic cholestasis were selected based on laboratory data, and a confirmed diagnosis was made based on imaging data, pathological findings, and gene sequencing data. The patients with unexplained intrahepatic cholestasis were analyzed in terms of demographic features, clinical manifestation, etiology spectrum, and genetic profile.  Results  A total of 62 patients with unexplained intrahepatic cholestasis were included, among whom there were 35 male patients and 27 female patients, with a median age of 42 (7 — ‍77) years. WES was used to make a definite diagnosis in 21 patients (33.87%), among whom the patients with familial intrahepatic cholestasis accounted for the highest proportion of 52.38% (11/21); genetic metabolic disorders were excluded by WES in 34 patients, with drug-induced liver injury and sepsis-associated liver injury accounting for the highest proportion of 55.88% (19/34), followed by primary biliary cholangitis and primary sclerosing cholangitis accounting for 20.59% (7/34) and intrahepatic bile duct stones accounting for 17.65% (6/34), while the patients with a lack of confirmed diagnosis accounted for 11.29% (7/62). A total of 21 novel mutation sites which were not reported in previous articles were identified in this study.  Conclusion  Genetic metabolic disorders constitute a significant proportion of unexplained intrahepatic cholestasis, and WES plays a crucial role in the diagnosis of unexplained intrahepatic cholestasis.
Value of internal stratification analysis of abdominal wall muscles in predicting complications after orthotopic liver transplantation
Xin SHI, Chongxiao LIANG, Bei ZHANG, Jiping WANG
2025, 41(2): 314-321. DOI: 10.12449/JCH250218
Abstract(738) HTML (351) PDF (3265KB)(53)
Abstract:
  Objective  To divide the muscle into different subzones according to different density ranges using the stratified analysis on the basis of myosteatosis, and to investigate the effect of muscle density changes on complications (Clavien-Dindo grade ≥Ⅲ) after orthotopic liver transplantation (OLT).  Methods  A retrospective analysis was performed for the medical records of 145 patients who underwent OLT in The First Hospital of Jilin University from May 2013 to September 2020, and with the plain CT scan images of the largest level of lumbar 3 vertebrae of each patient as the original data, Neusoft Fatanalysis software was used to measure related muscle parameters. The independent-samples t test was used for comparison of normally distributed continuous data between two groups, and the Mann-Whitney U test was used for comparison of non-normally distributed continuous data between two groups. The chi-square test or Fisher test was for comparison of categorical data between two groups. RIAS software was used to extract clinical features and perform analysis and modeling, and three machine learning models of logistic regression (LR), support vector machine (SVM), and random forest (RFC) were constructed. The receiver operating characteristic (ROC) curve, the calibration curve, and the decision curve were plotted for each model to calculate the area under the ROC curve (AUC), sensitivity, specificity, precision, F1 score, and accuracy.  Results  The three machine learning models of LR-C, SVM-C, and RFC-C were established based on the 7 clinical features before muscle stratification analysis, among which the RFC-C model had an AUC of 0.803, a sensitivity of 0.588, and a specificity of 0.778 in the test set. Among the models of LR-CS, SVM-CS, and RFC-CS established based on the 16 clinical features after muscle stratification analysis, the LR-CS and SVM-CS models had an AUC of 0.852 in the test set, with a sensitivity of 0.765 and 0.706, respectively, and a specificity of 0.889 and 0.926, respectively. Comparison of the AUC, sensitivity, specificity, precision, F1 score, and accuracy of each model in the test set before and after muscle stratification analysis showed that there were improvements in the parameters of the predictive model after muscle stratification analysis. Comparison of the decision curves and calibration curves of each predictive model showed that the LR-CS and SVM-CS models had good efficacy in predicting postoperative complications (Clavien-Dindo grade≥Ⅲ) in OLT patients.  Conclusion  On the basis of myosteatosis, the division of the muscle into different subzones according to different densities using the stratified analysis has a certain value in predicting postoperative complications in patients with OLT.
Pancreatic Disease
Effect of laminin subunit α3 on epithelial-mesenchymal transition, invasion, and metastasis abilities of pancreatic cancer
Nenghong YANG, Likun REN, She TIAN, Min HAN, Zhu LI, Yuxiang ZHAO, Peng LIU
2025, 41(2): 322-332. DOI: 10.12449/JCH250219
Abstract(741) HTML (379) PDF (4709KB)(56)
Abstract:
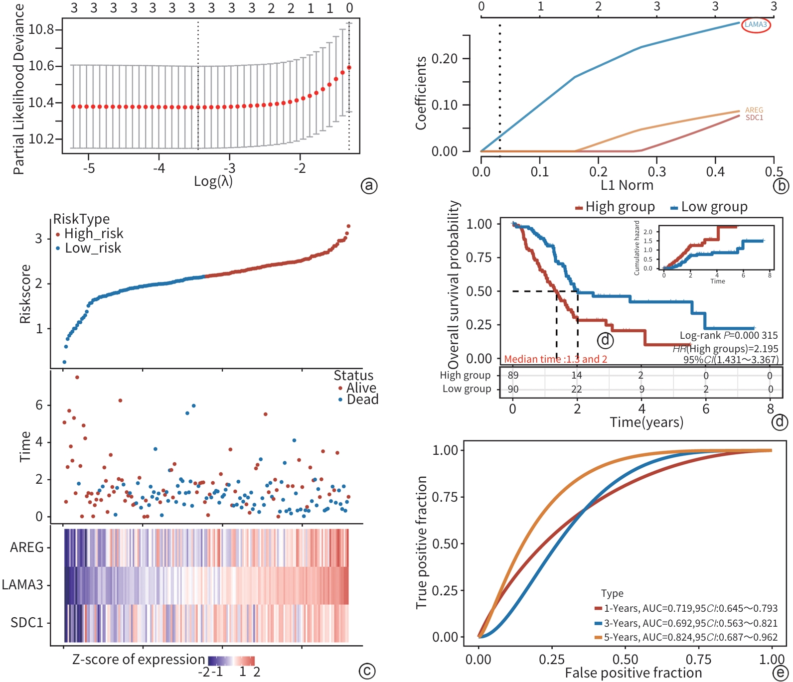
  Objective  To investigate the effect of laminin subunit α3 (LAMA3) on the epithelial-mesenchymal transition (EMT), invasion, and metastasis abilities of pancreatic cancer (PC).  Methods  A comprehensive analysis was performed for tumor- and EMT-related databases to identify the EMT genes associated with PC, especially LAMA3. The methods of qRT-PCR and Western blot were used to measure the expression level of LAMA3 in PC tissue and cell lines; immunofluorescence assay was used to determine the localization of LAMA3 in PANC-1 cells; Transwell assay was used to investigate the effect of LAMA3 on the invasion and migration abilities of PC cells. The t-test was used for comparison of continuous data between groups.  Results  The analysis of the TCGA database identified 3 EMT-related oncogenes for PC, i.e., LAMA3, AREG, and SDC1. The LASSO-Cox regression model showed that LAMA3 had the most significant impact on the prognosis of PC (risk score=0.256 1×LAMA3+0.043 1×SDC1+0.071 4×AREG). The Cox model and nomogram showed that the high expression of LAMA3 was an independent risk factor for the poor prognosis of PC (hazard ratio=1.32, 95% confidence interval: 1.07‍ ‍—‍ 1.62, P<0.01). Experimental results showed that there was a significant increase in the expression of LAMA3 in pancreatic cancer tissue compared with the normal pancreatic tissue. Compared with the HPDE cell line, there were varying degrees of increase in the expression of LAMA3 in pancreatic cancer AsPC-1, BxPC-3, PANC-1, MIA PaCa-2, and SW1990 cell lines, with the highest expression level in PANC-1 cells. The enrichment analysis showed that LAMA3 was associated with the biological processes and signaling pathways such as EMT, collagen metabolism, extracellular matrix degradation, the TGF-β pathway, and the PI3K pathway. After the knockdown of LAMA3, there were significant reductions in the expression levels of N-Cadherin, Vimentin, and Snail, while there was a significant increase in the expression level of E-Cadherin. Transwell assay showed that there were significant reductions in the invasion and migration abilities of PANC-1 cells after the knockdown of LAMA3.  Conclusion  LAMA3 is highly expressed in PC and can promote the EMT, invasion, and migration of PC cells, and therefore, LAMA3 may be used as a novel diagnostic marker and a new therapeutic target for PC.
Case Report
Successful treatment of biliary fistula after Beger surgery by oral choledochoscopy-assisted percutaneous-endoscopic rendezvous technique: A case report
Yuxin WANG, Weigang GU, Zheng JIN, Xiaofeng ZHANG
2025, 41(2): 333-336. DOI: 10.12449/JCH250220
Abstract(845) HTML (244) PDF (4794KB)(48)
Abstract:
Duodenum-preserving pancreatic head resection, also known as Beger surgery, has a high incidence rate of bile duct injury after surgery, while the treatment modality for bile duct injury depends on the severity of the injury, and endoscopic therapy is often challenging in case of severe bile duct injury. Recently a patient with biliary fistula after Beger surgery was admitted to Affiliated Hangzhou First People’s Hospital, Westlake University, and successful diagnosis and treatment were achieved through oral choledochoscopy-assisted percutaneous-endoscopic rendezvous technique.
Review
Association between Helicobacter pylori infection and hepatitis B virus-related liver diseases
Xiaonuo ZHAO, Suping MA, Zhun XIAO
2025, 41(2): 337-342. DOI: 10.12449/JCH250221
Abstract(2769) HTML (477) PDF (700KB)(104)
Abstract:
As a common infectious disease in China, chronic hepatitis B is hepatocyte injury and inflammatory necrosis due to immune response caused by hepatitis B virus (HBV). Helicobacter pylori (Hp) is a Gram-negative helicobacter that colonizes and persists in the human gastric mucosa. In recent years, an increasing number of studies have confirmed the close association between Hp infection and HBV-related liver diseases. This article reviews the articles on Hp infection and HBV-related liver diseases in recent years and discusses the association between Hp infection and HBV-related liver diseases, which shows the association between Hp infection and HBV-related liver diseases. The susceptibility to Hp in chronic hepatitis B patients increases with the progression of hepatitis B, and at the same time, Hp infection may increase the incidence rate of esophageal variceal rupture and hemorrhage and the risk of hepatic encephalopathy in patients with hepatitis B cirrhosis. Therefore, the screening and treatment of Hp infection in patients with HBV-related liver diseases should be taken seriously in clinical practice.
Molecular mechanisms of the interaction between hepatitis B virus infection and mitochondrial homeostasis
Xingtong LI, Taicheng ZHOU
2025, 41(2): 343-348. DOI: 10.12449/JCH250222
Abstract(975) HTML (436) PDF (632KB)(76)
Abstract:
Hepatitis B virus (HBV) infection can cause acute or chronic infection, while untreated patients can develop into liver cirrhosis or liver cancer, thereby leading to death. As one of the most important organelles of cells, the maintenance of the normal morphology and function of mitochondria is the basis for ensuring various physiological activities in cells, and physiological activities, such as mitochondrial dynamics, mitophagy, injury, and oxidative phosphorylation, can affect the maintenance of mitochondrial homeostasis. HBV infection can affect mitochondrial homeostasis. This article summarizes the research advances in mitochondrial homeostasis and HBV infection from the four aspects of mitochondrial dynamics, mitophagy, mitochondrial oxidative phosphorylation, and mitochondrial injury and discusses the association between the maintenance of mitochondrial homeostasis and HBV infection, in order to provide a theoretical basis for understanding the molecular mechanism of HBV infection and identifying the potential therapeutic targets for HBV.
Research advances in traditional Chinese medicine for the treatment of hepatocellular carcinoma by regulating immune cells
Lijuan LONG, Zongyu WANG, Yali ZHAO, Chuanfu QIN, Hua QIU
2025, 41(2): 349-358. DOI: 10.12449/JCH250223
Abstract(1657) HTML (843) PDF (1707KB)(124)
Abstract:
Hepatocellular carcinoma (HCC) is a common malignant tumor with a high mortality rate, an insidious onset, and complex pathological mechanisms. In the tumor microenvironment, tumor-promoting immune cells protect tumor cells from immune attacks, while dysfunction of anti-tumor immune cells causes the inhibition of immune response, thereby leading to the continuous deterioration of cancer. In recent years, traditional Chinese medicine has shown good efficacy in the treatment of HCC, and it can inhibit the proliferation and metastasis of cancer cells by regulating immune cells. By analyzing related articles in China and globally, this article summarizes how immune cells affect the progression of HCC through the immunosuppressive pathway and how traditional Chinese medicine exerts an anti-HCC effect by regulating immune cells, in order to provide theoretical basis and reference for optimizing the treatment of HCC.
Advances in the diagnosis and treatment of hepatocellular carcinoma with bile duct tumor thrombus
Yuxiang GUO, Maosen WANG, Zhongyuan LIU, Xudong ZHANG, Pengfei MA, Xiangkun WANG, Renfeng LI
2025, 41(2): 359-364. DOI: 10.12449/JCH250224
Abstract(932) HTML (364) PDF (701KB)(78)
Abstract:
Hepatocellular carcinoma (HCC) with biliary duct tumor thrombus (BDTT) is currently not common in clinical practice and is easily misdiagnosed, and previously, it was often considered an advanced stage of the disease with a poor prognosis, making its treatment challenging. However, in-depth studies in recent years have gradually deepened our understanding of this disease, leading to significant changes in diagnostic and treatment concepts. Currently, comprehensive treatment, mainly surgery, is used for treatment, but there is still controversy over the selection of clinical treatment strategies. This article provides a detailed discussion on surgical methods and prognosis, in order to provide a reference for clinical treatment options.
New insights and prospects of drug-induced liver injury in the context of chronic cholestatic liver diseases
Simiao YU, Jiabo WANG, Xiaohe XIAO, Ruilin WANG
2025, 41(2): 365-369. DOI: 10.12449/JCH250225
Abstract(2809) HTML (289) PDF (598KB)(88)
Abstract:
Patients with chronic cholestatic liver diseases face numerous challenges in the detection, assessment, and management of suspected drug-induced liver injury (DILI), and in particular, it is difficult to distinguish cholestatic DILI from the progression of underlying cholestatic liver diseases clinically and histologically. Currently, there is a lack of related research and management guidelines for DILI with chronic cholestatic liver diseases. This article discusses the potential risks, causality, and classification criteria for chronic cholestatic liver diseases with DILI, in order to improve the understanding of such diseases among clinicians and provide a reference for prevention, treatment, and management strategies.
Construction and practice of the theory of “turbid toxin pathogenesis” and related prevention and treatment strategies for hepatic encephalopathy in traditional Chinese medicine/Zhuang medicine
Zhipeng WU, Yuqin ZHANG, Chun YAO, Minggang WANG, Na WANG, Mengru PENG, Ningfang MO, Yaqing ZHENG, Rongzhen ZHANG, Dewen MAO
2025, 41(2): 370-374. DOI: 10.12449/JCH250226
Abstract(2209) HTML (467) PDF (923KB)(47)
Abstract:
Hepatic encephalopathy is a difficult and critical disease with rapid progression and limited treatment methods in the field of liver disease, and it is urgently needed to make breakthroughs in its pathogenesis. Selection of appropriate prevention and treatment strategies is of great importance in delaying disease progression and reducing the incidence and mortality rates. This article reviews the theory of “turbid toxin pathogenesis” and related prevention and treatment strategies for hepatic encephalopathy in traditional Chinese medicine/Zhuang medicine, proposes a new theory of “turbid toxin pathogenesis”, analyzes the scientific connotations of “turbid”, “toxin”, and the theory of “turbid toxin pathogenesis”, and constructs the “four-step” prevention and treatment strategies for hepatic encephalopathy, thereby establishing the new clinical prevention and treatment regimen for hepatic encephalopathy represented by “four prescriptions and two techniques” and clarifying the effect mechanism and biological basis of core prescriptions and techniques in the prevention and treatment of hepatic encephalopathy, in order to provide a reference for the prevention and treatment of hepatic encephalopathy.
Role of alkaloid compounds in regulating chronic liver diseases
Yihui ZHENG, Jiahui WANG, Tiejian ZHAO, Xuelin DUAN, Lei WANG, Yang ZHENG, Shiquan YANG
2025, 41(2): 375-382. DOI: 10.12449/JCH250227
Abstract(823) HTML (303) PDF (1695KB)(59)
Abstract:
Chronic liver diseases with common causes including viral infections, alcohol abuse, and autoimmune diseases. Alkaloids, as a class of plant-derived compounds, have shown significant potential in regulating chronic liver diseases. Recent studies have shown that alkaloids are able to exert a therapeutic effect on chronic liver diseases through multiple pathways. These compounds have a regulatory effect on key pathological processes such as liver fibrosis, inflammatory response, oxidative stress, and cell apoptosis, and they also regulate the metabolic homeostasis of hepatocytes by modulating multiple signaling pathways, thereby playing a role in regulating chronic liver diseases. This article reviews the role and mechanism of alkaloids in the treatment of chronic liver diseases, in order to provide new ideas and directions for the treatment of chronic liver diseases.
Role of triggering receptor expressed on myeloid cells 2 in acute and chronic liver diseases
Xinyue CUI, Quanhao SUN, Lihong ZHENG, Haiqiang WANG
2025, 41(2): 383-388. DOI: 10.12449/JCH250228
Abstract(663) HTML (441) PDF (634KB)(66)
Abstract:
Triggering receptor expressed on myeloid cells 2 (TREM2) is expressed in resident non-parenchymal cells (NPCs) and is involved in various pathological processes including liver inflammation and immunoregulation. In recent years, TREM2 has attracted attention in the field of acute and chronic liver diseases, and more and more studies have shown that TREM2 is a potential target for the treatment of acute and chronic liver diseases; however, there is a lack of systematic summary for the mechanism of action of TREM2 in acute and chronic liver diseases. Therefore, this article reviews the latest research advances in the regulatory role of TREM2 in acute and chronic liver diseases, in order to provide new ideas for the clinical prevention and treatment of acute and chronic liver diseases.
Role of autophagy in treatment of paracetamol-induced liver injury
Guojing XING, Lifei WANG, Longlong LUO, Xiaofeng ZHENG, Chun GAO, Xiaohui YU, Jiucong ZHANG
2025, 41(2): 389-394. DOI: 10.12449/JCH250229
Abstract(1007) HTML (607) PDF (1117KB)(75)
Abstract:
N-acetyl-p-aminophenol (APAP) is an antipyretic analgesic commonly used in clinical practice, and APAP overdose can cause severe liver injury and even death. In recent years, the incidence rate of APAP-induced liver injury (AILI) tends to increase, and it has become the second most common cause of liver transplantation worldwide. Autophagy is a highly conserved catabolic process that removes unwanted cytosolic proteins and organelles through lysosomal degradation to achieve the metabolic needs of cells themselves and the renewal of organelles. A large number of studies have shown that autophagy plays a key role in the pathophysiology of AILI, involving the mechanisms such as APAP protein conjugates, oxidative stress, JNK activation, mitochondrial dysfunction, inflammatory response and apoptosis. This article elaborates on the biological mechanism of autophagy in AILI, in order to provide a theoretical basis for the treatment of AILI and the development of autophagy regulators.
Research advances in autoimmune pancreatitis with pancreatic exocrine insufficiency
Xiang AO, Chenxiao LIU, Xianda ZHANG, Taojing RAN, Chunhua ZHOU, Duowu ZOU
2025, 41(2): 395-400. DOI: 10.12449/JCH250230
Abstract(1177) HTML (458) PDF (1001KB)(87)
Abstract:
Autoimmune pancreatitis is a special type of chronic pancreatitis that can lead to abnormal pancreatic exocrine function in patients. Autoimmune pancreatitis comorbid with pancreatic exocrine insufficiency has a complex pathogenesis, and there is limited research on this topic, leading to the lack of understanding of such patients in clinical practice. This article introduces the epidemiology of autoimmune pancreatitis, briefly describes the pathogenesis of pancreatic exocrine insufficiency caused by autoimmune pancreatitis, and summarizes the various detection methods for pancreatic exocrine function, nutritional assessments, lifestyle management, and drug therapy, in order to strengthen the understanding of autoimmune pancreatitis comorbid with pancreatic exocrine insufficiency and improve the clinical diagnosis and treatment of pancreatic exocrine insufficiency.
Introduction of High - quality Articles in Foreign Journals
Hepatology|Multicenter, retrospective GUIDANCE001 study comparing transarterial chemoembolization with or without tyrosine kinase and immune checkpoint inhibitors as conversion therapy to treat unresectable hepatocellular carcinoma: Survival benefit in intermediate or advanced, but not early, stages
2025, 41(2): 299-299. DOI: 10.12449/JCH2502.gwqkjpwzjj1
Abstract(352) HTML (185) PDF (898KB)(53)
Abstract:
Journal of Hepatology|Protein phosphatase 6 regulates metabolic dysfunction-associated steatohepatitis via the mTORC1 pathway
2025, 41(2): 364-364. DOI: 10.12449/JCH2502.gwqkjpwzjj2
Abstract(420) HTML (123) PDF (900KB)(44)
Abstract:
Journal of Hepatology|GRINA alleviates hepatic ischemia-reperfusion injury-induced apoptosis and ER-phagy by enhancing HRD1-mediated ATF6 ubiquitination
2025, 41(2): 382-382. DOI: 10.12449/JCH2502.gwqkjpwzjj3
Abstract(348) HTML (160) PDF (935KB)(42)
Abstract:
Liver International|MASLD, At-Risk MASH and increased liver stiffness are associated with young adulthood obesity without residual risk after losing obesity
2025, 41(2): 400-400. DOI: 10.12449/JCH2502.gwqkjpwzjj4
Abstract(368) HTML (127) PDF (1294KB)(43)
Abstract:
Acknowledgements
Current reviewers
2025, 41(2): 306-306. DOI: 10.12449/JCH2502.zhixie
Abstract(208) HTML (114) PDF (910KB)(32)
Abstract: